
In light of the recent report citing that brain cancer is now the number one cancer killing kids, many people are wondering what to look for and how to protect their children. Brain cancer can arise from many different types of brain cells (primary brain cancer) or occur when cancer cells from another part of the body spread (metastasize) to the brain. True brain cancers are those that arise in the brain itself. Causes of brain cancer are difficult to prove; avoiding compounds linked to cancer production is advised. Some quick facts about brain cancer are below:
Brain cancer symptoms vary but often include:
- weakness
- difficulty walking and/or dizziness
- seizures
- headaches.
Other common brain cancer symptoms are: - nausea
- vomiting
- blurry vision
- a change in a person's alertness, mental capacity, memory, speech, or personality
- some patients may hallucinate
MUST READ: Top 3 Causes Of Cancer
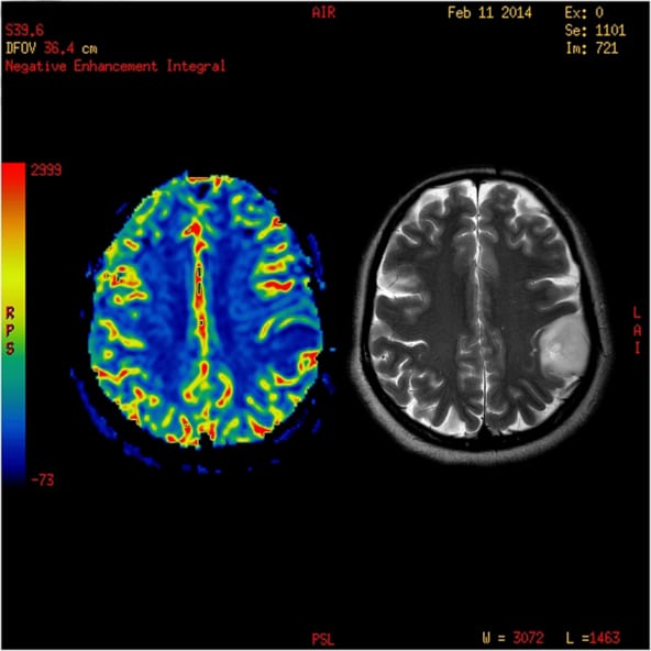
Diagnostic tests for brain cancer involve a history, physical exam, and usually a CT or MRI brain imaging procedure; sometimes a brain tissue biopsy is done.
Symptoms that may be specific to the location of the tumor include:
- Pressure or headache near the tumor
- Loss of balance and difficulty with fine motor skills is linked with a tumor in the cerebellum.
- Changes in judgment, including loss of initiative, sluggishness, and muscle weakness or paralysis is associated with a tumor in the frontal lobe of the cerebrum.
- Partial or complete loss of vision is caused by a tumor in the occipital lobe or temporal lobe of the cerebrum.
- Changes in speech, hearing, memory, or emotional state, such as aggressiveness and problems understanding or retrieving words can develop from a tumor in the frontal and temporal lobe of cerebrum.
- Altered perception of touch or pressure, arm or leg weakness on one side of the body, or confusion with left and right sides of the body are linked to a tumor in the frontal or parietal lobe of the cerebrum.
- Inability to look upward can be caused by a pineal gland tumor.
- Lactation, which is the secretion of breast milk and altered menstrual periods in women, and growth in hands and feet in adults are associated with a pituitary tumor.
- Difficulty swallowing, facial weakness or numbness, or double vision is a symptom of a tumor in the brain stem.
- Vision changes, including loss of part of the vision or double vision can be from a tumor in the temporal lobe, occipital lobe, or brain stem.
Treatments usually are directed by a team of doctors and are designed for the individual patient; treatments may include surgery, radiotherapy, or chemotherapy, often in combination.
Side effects of treatments range from mild to severe, and patients need to discuss plans with their treatment team members to clearly understand potential side effects and their prognosis (outcomes).
Depending on the brain cancer type and overall health status of the patient, brain cancer frequently has only a fair to poor prognosis; children have a somewhat better prognosis.






